Emergency, General, Restorative and Cosmetic Dentistry

Near Pain Free Procedures
12 Lake Esplanade, Central Queenstown

Success Stories       

Transform your teeth with our innovative dental improvement procedures and treatments


Discover the power of transformative dentistry through our before and after photos of dental procedures.
From crowns and teeth whitening to veneers and more, our expert treatments can revitalise your smile and boost your confidence. Browse our gallery to see the remarkable results for yourself!

Composite Restoration

Trauma fractured the anterior front left tooth.
This was improved by anterior composite white filling restoration treatment on the upper left front central incisor.
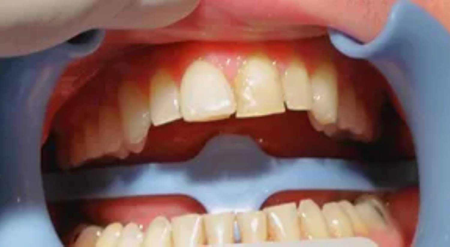
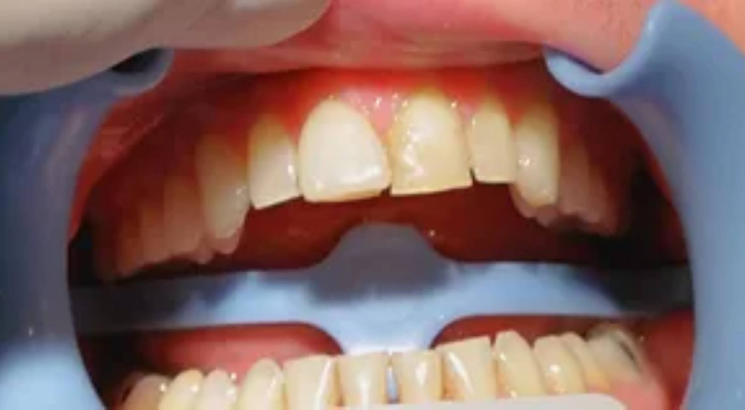
Trauma caused enamel-dentine fractures to both anterior central incisors.
This was treated with cosmetic anterior composite build-ups to restore the smile line with Adrian's smile design techniques.

Cosmetic

Tooth Veneer

Before veneer, note upper right front tooth has an existing veneer, and requires scale and polish. Afterwards, a much cleaner finish with two new front veneers and a thorough clean, scale and polish. 

Teeth Whitening

Before and after the Beyond System in-surgery tooth whitening technique that only took around an hour.

Crowns

Porcelain Crown

Posterior molar fractured tooth before treatment. Looking much better after restoration with a Procera Porcelain crown.

E-Max Crown

Upper left second premolar E-Max crown

Procera Crown

Upper left first premolar implant Procera crown.

Smile Design

Due to trauma, there was an anterior enamel fracture on the upper left central incisor and a chip to upper right old composite build up on the upper right central incisor.
A much smoother result after cosmetic detailed incisal edge smile design by Adrian.
Anterior crowns before treatment were uneven and there was a discoloured upper right canine. Smile design techniques by Adrian created a more aesthetic result.

Combined Treatments

Crown, Restoration and Smile Design

Anterior upper right lateral incisor and central incisor luxation injury caused a gingival tear, the tooth was pushed backwards tearing the gums. Both teeth required extraction due to failure.
A Procera implant crown with Biomet fixture was placed into the space, with a Procera porcelain crown fitted to the upper left central incisor. Spacial smile design and a little composite build up on the upper right canine to improve aesthics.

Long Term Solutions

After fourteen years, can you pick which are the implants and which are the root filled crowned teeth?
Front teeth were lost post trauma and replaced with Noble Biocare implant Procera crowns and Procera crowns on root filled teeth due to nerve exposures.

Send Us A Message

To book for a consultation, please send us a message

Emergency, General, Restorative and Cosmetic Dentistry

Pain Free Procedures
Central Queenstown